牙根发炎,在医学上通常被称为根尖周炎,是指牙齿根尖周围的组织(包括牙骨质、牙周膜和牙槽骨)发生的炎症性疾病,这种炎症多由牙髓感染扩散而来,也可能是牙齿受到外伤、牙体治疗后的并发症等引起,牙根发炎的症状表现多样,根据病程的急缓可分为急性根尖周炎和慢性根尖周炎,两者的症状特点有所不同,但都会给患者带来明显的不适。
急性根尖周炎是根尖周组织急性化脓性炎症的过程,起病急,症状明显,在炎症初期,患者会感到牙齿有浮起感,咬合时疼痛加剧,这是因为炎症导致牙周膜水肿,牙齿被抬高,与对颌牙接触时产生压力,疼痛通常是自发性、持续性的,且能明确指出是哪一颗牙齿疼痛,疼痛可放射至耳颞部、头部、下颌区域等,随着炎症的发展,患牙会出现明显的叩痛,即医生用器械轻轻叩击牙齿时,患者会感到剧烈疼痛,这是根尖周炎症的重要标志之一,牙齿的松动度会增加,因为炎症破坏了牙周组织的支持结构,若炎症进一步发展,根尖部骨质破坏液化,形成化脓性炎症,则疼痛会加剧,呈搏动性跳痛,患者可能因疼痛而无法准确指出患牙位置,这种情况下称为急性根尖周炎化脓期,还可能伴有全身症状,如发热、乏力、白细胞计数升高等,严重时甚至可形成颌面部间隙感染,导致面部肿胀、张口受限等。

慢性根尖周炎则是根尖周组织慢性炎症过程,多数由急性根尖周炎未及时治疗或治疗不彻底转变而来,也可由牙髓坏死逐渐发展而来,慢性根尖周炎的症状通常不明显,患者可能没有明显的疼痛,或仅有轻微的咀嚼不适感,患牙对冷热刺激无明显反应,牙髓多已坏死,在慢性根尖周炎的病程中,根尖周组织可能形成肉芽肿、囊肿或脓肿,这些病变在发展过程中,如果机体抵抗力下降或局部刺激因素增强,可能转化为急性发作,此时会出现急性根尖周炎的症状,部分慢性根尖周炎患者会在牙龈表面出现瘘管,瘘管口处可能有脓液溢出,按压时可有脓液溢出,口腔内异味明显,长期存在的慢性根尖周炎可能导致牙根吸收,牙齿松动甚至脱落,还可能对颌骨造成破坏,在X线片上可见根尖部有圆形或椭圆形的骨质破坏区。
不同类型的牙根发炎症状表现有所差异,为了更清晰地对比,可参考以下表格:
| 炎症类型 | 疼痛特点 | 牙齿松动度 | 叩痛 | 全身症状 | 其他症状 |
|---|---|---|---|---|---|
| 急性根尖周炎(初期) | 自发性、持续性疼痛,咬合时加剧 | 轻度松动 | 明显 | 无或轻微 | 牙齿浮起感 |
| 急性根尖周炎(化脓期) | 搏动性跳痛,疼痛剧烈,可放射 | 中度至重度松动 | 剧烈,不愿咬合 | 可有发热、乏力等 | 面部肿胀可能 |
| 慢性根尖周炎 | 多无明显疼痛,或轻微咀嚼不适 | 轻度或无松动 | 轻微或无 | 通常无 | 可有瘘管、牙龈肿胀,X线片可见骨质破坏 |
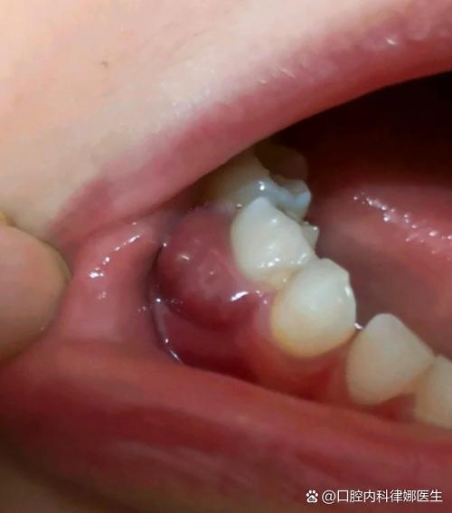
除了上述典型症状外,牙根发炎还可能伴随一些其他表现,患牙的颜色可能发生改变,由于牙髓坏死,牙齿可能逐渐变为暗黄色或灰色,口腔检查时可见患牙有深龋、充填体或其他牙体缺损,牙髓多无活力,牙龈上可能出现反复肿胀的包块(瘘管),挤压时有脓液溢出,急性发作时瘘管可能闭合,当炎症扩散至颌骨时,可能导致面部相应区域肿胀,皮肤发红、皮温升高,严重时可影响张口和进食。
牙根发炎的病因主要是细菌感染,当牙齿因龋齿、外伤、磨损等原因导致牙髓暴露,细菌通过牙本质小管或直接进入牙髓腔,引起牙髓炎,若牙髓炎未得到及时治疗,感染会通过根尖孔扩散至根尖周组织,引发根尖周炎,牙齿过度磨耗、咬创伤、牙髓治疗后遗症等也可能导致牙根发炎。

诊断牙根发炎主要依靠临床表现、口腔检查和辅助检查,医生会通过询问患者的疼痛性质、部位、持续时间等病史,结合视诊、探诊、叩诊、扪诊等检查,初步判断患牙情况,牙髓活力测试(如冷热测试、电活力测试)可帮助判断牙髓状态,牙髓坏死是牙根发炎的重要前提,X线片检查是诊断牙根周炎的重要手段,可显示根尖周骨质破坏的范围、类型,以及根管形态、充填情况等,对于复杂的病例,可能还需要进行根管显微镜检查、CT检查等,以明确诊断。
治疗牙根发炎的关键是去除病因,即通过根管治疗彻底清除根管内的感染物质,对根管进行消毒和充填,防止感染再次发生,急性根尖周炎发作时,首先应进行开髓引流,降低根管内压力,缓解疼痛,然后进行根管预备和消毒,待急性症状消退后再完成根管充填,慢性根尖周炎则需要彻底的根管清理和成形,辅以根尖手术(如根尖切除术、根尖刮治术等)以促进根尖周病变的愈合,对于无保留价值的患牙,可能需要拔除患牙,防止炎症扩散。
预防牙根发炎的关键在于保持良好的口腔卫生习惯,定期进行口腔检查和洁治,及时发现和处理龋齿等牙体疾病,避免牙齿受到外伤,如发生外伤应及时就医,对于已经进行牙髓治疗的牙齿,应定期复查,确保治疗效果。
相关问答FAQs:

-
问:牙根发炎不治疗会自己好吗? 答:牙根发炎通常不会自行愈合,牙根发炎的根本原因是细菌感染,感染物质存在于根管内,如果不进行根管治疗清除这些感染物质,炎症会持续存在,甚至可能加重,急性根尖周炎可能在一段时间后因机体抵抗力增强而转为慢性,但慢性根尖周炎也会在机体抵抗力下降时反复急性发作,还可能导致牙根吸收、骨质破坏、颌面部感染等严重后果,因此一旦确诊牙根发炎,应及时就医进行规范治疗。
-
问:牙根发炎期间可以拔牙吗? 答:牙根发炎期间是否可以拔牙需要根据具体情况判断,对于急性根尖周炎化脓期,伴有明显面部肿胀、张口受限等感染症状时,通常不建议立即拔牙,因为此时机体抵抗力低下,拔牙可能导致感染扩散,加重病情,一般应先进行开髓引流、抗感染等治疗,待急性炎症控制后再考虑拔牙,对于慢性根尖周炎,如果患牙无保留价值(如牙体大面积破坏、根尖病变过大等),可以在炎症得到控制后拔除,但对于有保留价值的患牙,根管治疗是首选的保存治疗方法,拔牙应是最后的选择,具体是否需要拔牙,应由医生根据患牙的具体情况综合判断。

暂无评论,1人围观