软骨属于人体的结缔组织,它是一种特殊的致密结缔组织,主要由软骨细胞、软骨基质和纤维成分构成,与骨组织相比,软骨具有无血管、无神经、细胞数量较少但细胞外基质丰富的特点,这使得它在人体中发挥着独特的支撑、缓冲和润滑作用,从组织学分类来看,软骨属于结缔组织中的固有结缔组织亚类,与血液、骨、肌腱等组织同属一个大类,但其在结构、功能和代谢方式上又具有明显的特殊性。
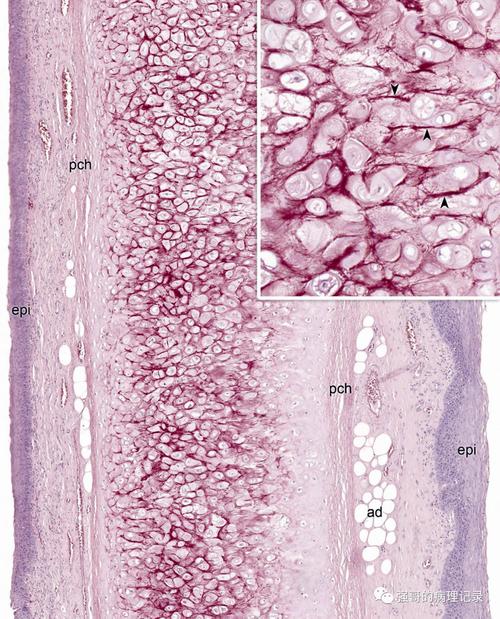
软骨的组织结构可分为三层:软骨膜、软骨基质和软骨细胞,软骨膜是覆盖在软骨表面的致密结缔组织组织,富含血管、神经和祖细胞,对软骨的营养供应、损伤修复和生长具有重要作用,软骨基质呈凝胶状,主要由蛋白多糖和水构成,其中蛋白多糖的核心蛋白与透明质酸结合形成 aggregates,赋予软骨强大的抗压性和弹性,基质中还含有II型胶原纤维,这种纤维呈网状排列,为软骨提供抗拉伸强度,软骨细胞散布在基质中,根据其成熟程度可分为软骨细胞、软骨母细胞和软骨细胞前体,这些细胞负责基质的合成与降解,维持软骨的动态平衡。

根据基质中纤维成分的不同,软骨可分为三种类型:透明软骨、弹性软骨和纤维软骨,透明软骨的基质中均匀分布着II型胶原纤维,在HE染色中呈半透明状,广泛分布于关节面、肋软骨、气管和喉部等部位,其主要功能是减少摩擦、缓冲压力,弹性软骨的基质中含有大量弹性纤维,使软骨具有良好的弹性,主要存在于耳廓、会厌等部位,需要保持形状和弹性的结构,纤维软骨的基质中则以I型胶原纤维为主,呈致密的束状排列,常见于椎间盘、关节盘和肌腱附着处,其主要功能是抵抗剪切力和拉伸力,这三种类型的软骨在结构和功能上的差异,反映了结缔组织对不同生理环境的适应。
软骨的生理功能主要包括支撑、缓冲、润滑和塑形,在关节中,透明软骨覆盖在骨端表面,形成光滑的关节面,减少运动时的摩擦和磨损;在脊柱中,纤维软骨构成的椎间盘吸收震动,保护脊髓免受冲击;在耳廓和鼻部,弹性软骨维持器官的形状同时允许一定程度的变形,在生长板(骺板)中,透明软骨的增生和钙化是长骨纵向生长的关键,这一过程在青春期结束后逐渐停止,但软骨的终身修复能力有限,这也是关节软骨损伤后难以自愈的原因。
软骨的代谢活动相对缓慢,主要依赖于软骨膜和关节滑液的扩散供应营养物质,由于缺乏血管,软骨细胞的营养获取和废物排出都依赖于渗透作用,这限制了其修复能力,在损伤情况下,软骨细胞可通过分裂增殖和基质合成进行有限的修复,但严重损伤时往往需要纤维组织填充,形成纤维软骨而非透明软骨,导致功能部分丧失,随着年龄增长,软骨基质中的蛋白多糖含量逐渐减少,胶原纤维网状结构破坏,软骨的弹性和抗压能力下降,这是骨关节炎等退行性疾病的重要病理基础。
在临床医学中,软骨损伤和退变是常见的健康问题,关节软骨损伤可导致关节疼痛、活动受限,严重时发展为骨关节炎;椎间盘退变可引起椎间盘突出,压迫神经根或脊髓;耳廓或鼻部软骨畸形则影响外观和功能,软骨修复的研究热点包括组织工程软骨、干细胞治疗和基因治疗等,旨在通过体外构建软骨组织或激活体内修复机制来恢复软骨功能,软骨作为生物支架材料在组织工程中的应用也日益广泛,其良好的生物相容性和力学性能为组织修复提供了理想的选择。

软骨的生长方式有两种:间质生长和附加生长,间质生长发生在幼年时期的生长板,软骨细胞通过分裂增殖并分泌基质使软骨从内部增大;附加生长则通过软骨膜的膜内成骨,使软骨从表面增生变厚,这两种生长方式共同确保了骨骼的正常发育和形态形成,在成年后,软骨的生长基本停止,但基质仍处于动态平衡状态,软骨细胞不断合成和降解基质,维持其结构和功能。
软骨的发育起源于间充质细胞,在胚胎发育过程中,间充质细胞聚集并分化为软骨母细胞,后者进一步分化为软骨细胞并分泌基质形成软骨模型,这一过程是膜内成骨和软骨内成骨的基础,对骨骼系统的形成至关重要,在进化过程中,软骨作为原始的骨骼支撑结构,在低等动物中更为常见,而在高等动物中,大部分软骨被骨组织取代,仅保留在特定部位,这反映了生物体对力学环境和功能需求的适应性进化。
从分子生物学角度看,软骨的维持依赖于多种生长因子和细胞因子的调节,如转化生长因子-β(TGF-β)、胰岛素样生长因子(IGF)和骨形态发生蛋白(BMP)等,这些因子促进软骨细胞增殖和基质合成;而白细胞介素-1(IL-1)、肿瘤坏死因子-α(TNF-α)等促炎因子则抑制基质合成,加速其降解,在关节炎等疾病中发挥关键作用,基质金属蛋白酶(MMPs)和其组织抑制剂(TIMPs)的平衡也影响软骨基质的稳定性,这一平衡的破坏是软骨退变的重要机制。
在组织工程领域,软骨的培养和应用已成为研究热点,通过将软骨细胞或干细胞种植于生物支架(如胶原蛋白、聚乳酸等)上,并在特定的生长因子和力学刺激下,可体外构建具有生理功能的软骨组织,这种组织工程软骨可用于修复关节软骨缺损、重建鼻耳等器官的形态,为临床治疗提供了新的途径,3D打印技术的应用使得精确控制软骨支架的微观结构和力学性能成为可能,进一步推动了软骨组织工程的发展。
软骨的研究不仅对理解人体正常生理功能具有重要意义,也为疾病治疗和新材料开发提供了理论基础,随着分子生物学、材料科学和生物工程技术的进步,对软骨的认识将不断深入,其临床应用前景也将更加广阔,由于软骨的特殊生物学特性,如何实现其高效修复和功能重建仍是当前面临的重大挑战,需要多学科交叉合作和持续创新。
相关问答FAQs:
-
问:软骨和骨组织有什么区别?
答:软骨和骨组织均属于结缔组织,但存在显著差异,软骨无血管、无神经,细胞外基质以蛋白多糖和胶原纤维为主,具有较强的弹性和抗压性,但硬度较低;骨组织则富含血管和神经,基质中大量钙盐沉积,使骨坚硬且具有支撑作用,骨组织具有强大的修复能力,可通过成骨细胞不断重塑,而软骨的修复能力有限,严重损伤后难以完全再生。 -
问:为什么关节软骨损伤后难以自愈?
答:关节软骨缺乏血管和神经,营养供应依赖于关节滑液的扩散,这一特点限制了其修复能力,软骨细胞数量较少且代谢缓慢,在损伤后难以大量增殖并合成足够的基质来填补缺损,虽然轻微损伤可通过软骨细胞的有限修复得到缓解,但严重损伤时,由于缺乏血液供应的干细胞和生长因子,往往只能由纤维组织填充,形成功能较差的纤维软骨,而非原有的透明软骨,因此难以完全恢复功能。

暂无评论,1人围观