长智齿是什么症状,这是一个涉及口腔健康的重要问题,智齿是人类口腔中最后萌出的牙齿,通常在17至25岁之间出现,由于进化原因,现代人类的颌骨空间往往不足以容纳智齿正常萌出,导致其出现各种问题,引发一系列症状,了解这些症状有助于及时识别并采取应对措施,避免更严重的口腔问题。
长智齿的症状表现多样,根据智齿萌出的位置和方向不同,症状的严重程度也有所差异,最常见的症状包括局部疼痛、肿胀、口腔异味等,这些症状可能突然出现,也可能反复发作,影响日常生活和饮食,从轻微不适到剧烈疼痛,长智齿的症状可以分为几个阶段和类型。

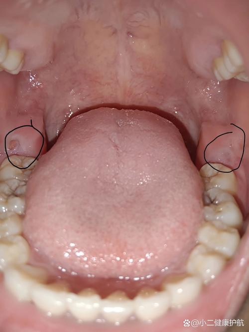
在早期阶段,当智齿开始萌出时,很多人会感到牙龈局部轻微疼痛,这种疼痛通常呈阵发性,可能在咀嚼或张嘴时加剧,牙龈可能会出现红肿现象,用手触摸时能感觉到局部温度升高,这是因为智齿萌出过程中,牙冠顶破牙龈组织,导致牙龈受到刺激和轻微损伤,引发炎症反应,此时口腔内可能会感到不适,尤其是后牙区域,有时还会伴有同侧耳朵周围或下颌角的放射性疼痛,这种疼痛容易被误认为是耳朵或面部其他器官的问题。
随着智齿继续萌出,如果空间不足,智齿可能会倾斜生长,部分牙龈覆盖在牙冠表面,形成一个盲袋,这个盲袋容易食物残渣和细菌积聚,日常刷牙很难彻底清洁,久而久之,细菌大量繁殖,引发冠周炎,这是长智齿最常见的问题之一,冠周炎的症状会明显加重,牙龈出现剧烈疼痛,疼痛可放射至头部、颈部和肩部,导致患者张口受限,甚至无法正常进食,说话和吞咽也会受到影响,此时牙龈红肿更加明显,表面可能出现脓液,按压时有脓液溢出,同时伴有口腔异味,即使认真刷牙也无法消除,严重时还可能出现发烧、头痛、全身乏力等全身症状,颌下淋巴结也可能肿大并伴有压痛。
除了冠周炎,长智齿还可能引发其他口腔问题,如果智齿萌出方向异常,如水平阻生、近中阻生等,可能会压迫邻牙,导致邻牙龋坏或牙根吸收,患者可能感到邻牙疼痛或松动,如果智齿完全埋在颌骨内,形成阻生齿,随着时间推移,可能会在颌骨内形成囊肿或肿瘤,破坏颌骨组织,这种情况早期可能没有明显症状,但通过口腔X光检查可以发现,当囊肿较大时,可能会导致面部膨隆、牙齿移位等症状,长智齿还可能引发颞下颌关节紊乱,患者感到张口时关节弹响、疼痛,甚至出现张口受限。
不同类型的智齿萌出,症状表现也存在差异,垂直萌出的智齿如果空间足够,可能没有明显症状,仅感觉牙龈轻微不适;而水平阻生智齿更容易压迫邻牙和引发冠周炎,症状通常更严重,部分人可能只有一侧长智齿出现症状,而另一侧无症状,这取决于颌骨空间和智齿萌出方向,女性在怀孕期间由于激素水平变化,牙龈更容易发炎,如果此时长智齿,冠周炎的症状可能会更加明显且难以控制。

长智齿的症状还可能因个体差异而不同,有些人的免疫系统较强,即使智齿萌出空间不足,也可能没有明显症状,仅在口腔检查时发现智齿位置异常;而有些人则可能反复发作冠周炎,严重影响生活质量,年龄因素也会影响症状表现,年轻人新陈代谢旺盛,炎症反应可能更剧烈,疼痛感更强;而老年人由于牙龈萎缩和牙槽骨吸收,症状可能相对较轻,但更容易出现邻牙损伤。
为了更直观地了解长智齿的症状,以下表格总结了常见症状及其表现:
| 症状类型 | 具体表现 | 可能原因 |
|---|---|---|
| 局部疼痛 | 牙龈轻微疼痛、咀嚼时加剧、放射性疼痛至耳部或下颌 | 牙冠顶破牙龈、牙龈炎症 |
| 牙龈红肿 | 牙龈发红、肿胀、局部温度升高、按压疼痛 | 萌出刺激、冠周炎 |
| 口腔异味 | 即使认真刷牙仍有异味、牙龈有脓液时异味加重 | 细菌积聚、冠周炎感染 |
| 张口受限 | 无法正常张口、说话和吞咽困难 | 剧烈疼痛、肌肉痉挛 |
| 全身症状 | 发烧、头痛、乏力、颌下淋巴结肿大 | 严重冠周炎、细菌扩散 |
| 邻牙问题 | 邻牙疼痛、龋坏、松动 | 智齿压迫、邻牙损伤 |
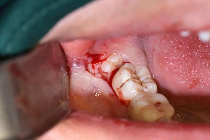
如果出现上述症状,应及时就医,口腔医生会通过临床检查和X光片诊断智齿的位置、萌出方向及对周围组织的影响,治疗方法包括局部冲洗上药、口服抗生素消炎,对于反复发作的冠周炎或位置异常的智齿,通常建议拔除智齿,拔牙后大多数症状会逐渐消失,如果不及时处理,长智齿引发的问题可能会越来越严重,甚至影响口腔功能和全身健康。
相关问答FAQs:

-
问:长智齿一定会疼吗?有没有可能没有症状? 答:不是所有长智齿都会出现疼痛症状,如果智齿位置正常,有足够的空间萌出,且与邻牙关系良好,可能没有明显症状,仅在口腔检查时发现智齿存在,但这种情况相对较少,大多数智齿由于萌出空间不足,会出现不同程度的症状,如牙龈不适、疼痛等,即使早期没有症状,随着时间推移,也可能因食物嵌塞、细菌积聚等问题引发炎症,即使没有疼痛,也应定期进行口腔检查,及时发现智齿问题。
-
问:长智齿引起的疼痛可以自己缓解吗?什么情况下必须看医生? 答:轻微的长智齿疼痛可以通过一些方法暂时缓解,如用温盐水漱口、避免用患侧咀嚼、保持口腔清洁等,这些方法可以减轻牙龈炎症和不适,但如果疼痛剧烈、持续不缓解,伴有张口受限、发烧、牙龈流脓等症状,或者反复发作冠周炎,必须及时就医,这些情况可能需要专业治疗,如局部冲洗、药物治疗,甚至拔除智齿,自行处理可能导致病情加重,引发更严重的并发症。

暂无评论,1人围观