门牙蛀牙,在医学上称为“前牙龋病”,是口腔中较为常见的牙齿问题之一,很多人认为门牙位置靠前,容易清洁,应该不容易蛀牙,但实际上门牙不仅会蛀,甚至可能因为其独特的位置和功能特点,在某些情况下比后牙更容易出现问题,要理解门牙为什么会蛀牙,需要从牙齿结构、口腔环境、生活习惯以及细菌作用等多个维度进行深入分析。
从牙齿的解剖结构来看,门牙分为牙冠、牙根和牙颈三部分,牙冠是暴露在口腔中的部分,表面覆盖着一层坚硬的牙釉质,这是人体最坚硬的组织,其主要成分是羟基磷灰石,具有抵抗酸蚀的能力,牙釉质的厚度并非均匀一致,尤其是门牙的牙釉质,虽然整体较薄,但其切缘(牙齿最尖端的部分)在咀嚼硬物时承受较大压力,釉质可能存在微小裂纹或发育不全的区域,这些薄弱环节容易成为细菌入侵的突破口,门牙的邻面(与旁边牙齿接触的面)和牙龈边缘区域,由于位置特殊,牙刷刷毛难以完全覆盖,容易形成清洁死角,导致食物残渣和细菌堆积,久而久之形成菌斑,进而引发龋齿。

口腔环境的变化是导致门牙蛀牙的关键因素,口腔中的细菌,尤其是变形链球菌和乳酸杆菌,会利用食物中的糖分(尤其是蔗糖)进行代谢,产生酸性物质,这些酸性物质会溶解牙釉质中的矿物质,这个过程称为“脱矿”,如果脱矿时间过长,牙釉质会被破坏,形成龋洞,门牙的位置靠近口腔前部,唾液分泌相对较少,而唾液具有冲刷牙齿、中和酸性物质、再矿化牙釉质的作用,唾液减少意味着门牙区域酸性物质更容易积聚,牙釉质再矿化的能力下降,从而增加了蛀牙的风险,如果口腔干燥(例如由于药物副作用、呼吸习惯或饮水不足),唾液分泌进一步减少,门牙蛀牙的概率会显著增加。
生活习惯和饮食因素对门牙蛀牙的影响也不容忽视,现代饮食中,高糖食物和酸性饮料的摄入量增加,如碳酸饮料、果汁、糖果、糕点等,这些食物不仅含有大量糖分,其酸性也会直接腐蚀牙釉质,门牙作为切割食物的主要牙齿,在进食时首先接触这些食物,更容易受到直接攻击,频繁饮用碳酸饮料而不及时漱口或清洁,会导致牙釉质表面被酸蚀,变得粗糙,更容易附着细菌和食物残渣,不良的口腔卫生习惯,如刷牙次数不足、刷牙方法不正确(如未采用巴氏刷牙法,遗漏牙面)、不使用牙线清洁邻面等,都会导致牙菌斑和牙结石堆积,为细菌提供了繁殖的温床,对于儿童来说,门牙蛀牙还可能与“奶瓶龋”有关,即长时间含着奶瓶或母乳入睡,牛奶中的乳糖在口腔中被细菌分解,产生酸性物质,腐蚀门牙。
牙齿发育和个体差异也会影响门牙的抗龋能力,有些人的门牙在发育过程中可能存在釉质钙化不足、釉质发育不全或牙齿形态异常(如牙齿排列拥挤、牙缝过大)等问题,釉质发育不全会导致牙釉质表面出现白垩色或棕色斑块,质地疏松,更容易被酸蚀;牙齿排列拥挤则会导致清洁困难,食物嵌塞;牙缝过大则容易嵌塞食物,细菌滋生,遗传因素也可能影响唾液的质量和流量、牙齿的形态和矿化程度,从而影响门牙对龋病的抵抗力。
年龄因素同样不可忽视,随着年龄的增长,牙龈可能会出现生理性萎缩,导致牙根暴露,牙根表面覆盖的牙本质,其矿化程度低于牙釉质,更容易被细菌酸蚀,中老年人门牙牙龈萎缩后,牙根面暴露,更容易发生根面龋,这是一种进展迅速且危害较大的龋病类型。

以下表格总结了门牙蛀牙的主要原因及具体表现:
| 原因类别 | 具体因素 | 作用机制 |
|---|---|---|
| 牙齿结构 | 牙釉质薄弱、发育不全、牙齿形态异常 | 牙釉质抵抗力下降,细菌易入侵;清洁困难,食物残渣堆积 |
| 口腔环境 | 唾液分泌减少、口腔干燥 | 冲刷和中和酸性物质能力下降,再矿化能力减弱 |
| 饮食习惯 | 高糖食物、酸性饮料频繁摄入 | 细菌代谢产酸,直接酸蚀牙釉质,提供细菌营养 |
| 口腔卫生 | 刷牙不彻底、不用牙线、清洁死角 | 菌斑堆积,细菌持续产酸,破坏牙釉质 |
| 年龄因素 | 牙龈萎缩、牙根暴露 | 牙本质抗酸能力弱,易发生根面龋 |
| 个体差异 | 遗传因素、全身性疾病(如糖尿病) | 影响唾液功能、牙齿矿化程度,降低抵抗力 |
一些不良习惯也会增加门牙蛀牙的风险,用门牙咬硬物(如开瓶盖、咬核桃)、咬笔、咬指甲等,可能导致牙釉质出现裂纹或缺损,这些缺损处容易滞留食物和细菌,形成龋坏,夜间磨牙或紧咬牙的习惯,会导致门牙过度磨损,牙釉质变薄,降低抗酸能力。
门牙蛀牙是多种因素共同作用的结果,既包括牙齿本身的解剖结构和发育特点,也与口腔环境、饮食习惯、口腔卫生习惯以及年龄等因素密切相关,要预防门牙蛀牙,需要采取综合措施:保持良好的口腔卫生习惯,坚持每天刷牙两次,每次至少两分钟,使用含氟牙膏,配合牙线清洁邻面;减少高糖和酸性食物的摄入,尤其是避免频繁食用零食和饮料;定期进行口腔检查和洁牙,及时发现和处理早期龋齿;避免用门牙咬硬物,纠正不良习惯;对于有牙龈萎缩的人群,应特别注意牙根面的清洁,必要时使用抗敏感牙膏。
相关问答FAQs:
-
问:门牙蛀牙了不治疗会怎么样?
答:门牙蛀牙不治疗会导致龋坏逐渐加深,从牙釉质发展到牙本质,甚至波及牙髓,初期可能只是牙齿表面出现白垩色或棕色斑点,伴有冷热敏感;中期龋洞形成,进食时可能出现疼痛;晚期若感染牙髓,会引发牙髓炎,出现剧烈疼痛、夜间加重,甚至导致牙根尖周炎,表现为牙龈肿胀、流脓,门牙蛀牙还会影响美观和发音,严重时可能导致牙齿缺损或脱落,影响咀嚼功能和面部美观。 -
问:儿童门牙蛀牙(奶瓶龋)需要治疗吗?
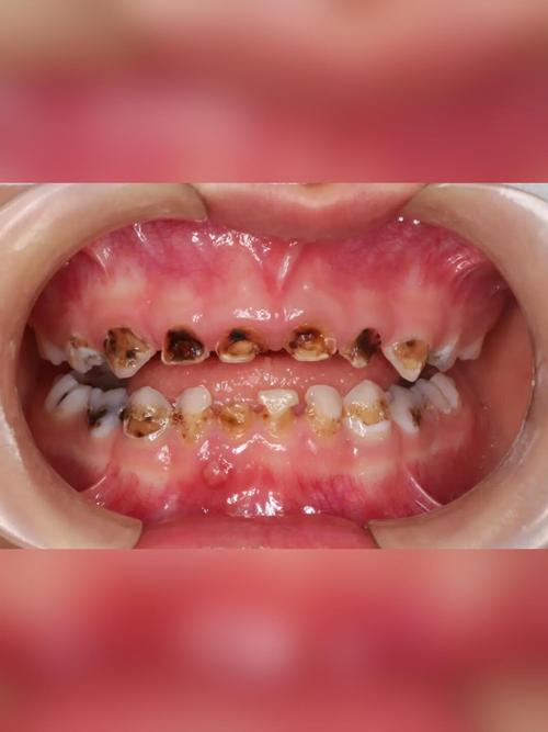
答:儿童门牙蛀牙(奶瓶龋)必须及时治疗,乳牙虽然会被恒牙替换,但乳牙的健康对恒牙的发育、颌骨的生长以及儿童的咀嚼、发音和心理发育都有重要影响,奶瓶龋进展迅速,容易导致乳牙牙冠大面积破坏,引发疼痛、感染,甚至影响下方恒牙胚的发育,治疗方法包括涂氟、补牙、根管治疗等,具体需根据龋坏程度由医生决定,家长应注意纠正儿童含奶瓶入睡的习惯,饭后漱口,并尽早开始口腔清洁,帮助儿童养成良好的口腔卫生习惯。

暂无评论,1人围观