虫牙的“成长”过程和样貌变化
可以把虫牙的发展想象成一个小伤口,从浅到深,从无到有。
早期/浅龋(最容易忽视的阶段)
这个阶段,牙齿的硬组织(牙釉质)刚开始被破坏,但通常还没有形成明显的“洞”。

(图片来源网络,侵删)
- 外观:
- 白垩色/黄褐色斑点: 牙齿表面出现一些不透明的、粗糙的白色或黄褐色的小斑点或斑块,这是最早的信号,因为脱矿的牙釉质失去了原有的光泽。
- 浅表的模糊区域: 有时看起来就像牙齿上有一块“脏东西”或“渍”,但刷牙时刷不掉。
- 感觉:
- 通常没有疼痛感。 这是很多人忽略这个阶段的原因。
- 可能对冷、热、甜、酸的刺激有一点点敏感,但很不明显。
简单说: 牙齿上出现一块“脱色”的、粗糙的斑点,不痛不痒。
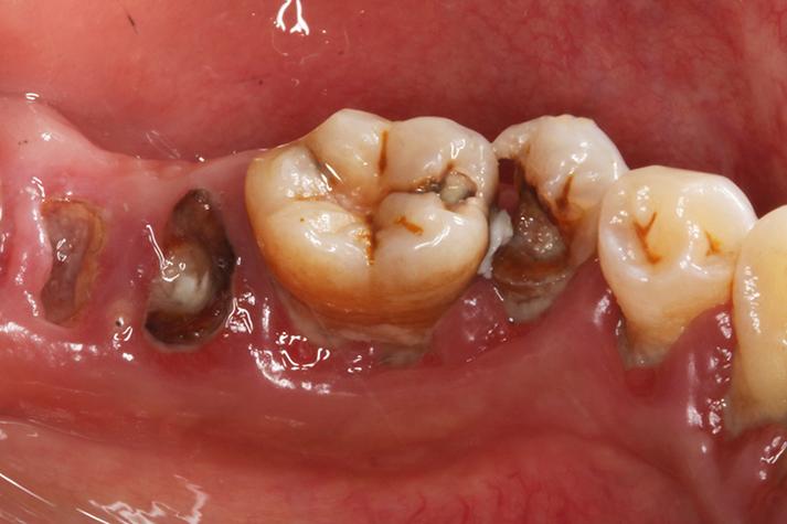
中期/深龋(形成明显蛀洞)
如果早期没有处理,细菌会继续腐蚀,穿透牙釉质,到达更软的牙本质层,这时,一个真正的“洞”就形成了。
- 外观:
- 明显的黑洞或棕色/褐色小洞: 这是我们最常说的“虫牙”,牙齿上出现了一个看得见的、有深度的洞。
- 边缘粗糙不齐: 蛀洞的边缘通常不是平滑的,而是参差不齐的。
- 食物残渣堆积: 这个小洞很容易塞住食物,你可能会在刷牙或用牙线时发现。
- 感觉:
- 对冷、热、甜、酸食物敏感: 吃冰淇淋、喝热汤或甜饮料时,牙齿会感到一阵酸痛。
- 咬合不适: 咀嚼时,如果食物嵌塞进洞里,会感觉不舒服或疼痛。
- 自发性疼痛: 有时在没有外界刺激的情况下,牙齿也会隐隐作痛。
简单说: 牙齿上有个明显的黑洞,吃冷热酸甜会疼,吃东西容易塞牙。
晚期/牙髓炎(伤及牙神经)
当蛀洞非常深,细菌已经感染到了牙齿内部的牙神经(牙髓),就会引发牙髓炎。

(图片来源网络,侵删)
- 外观:
- 大而深的蛀洞: 通常能看到一个很深的黑洞,甚至能看到黑色的腐质。
- 牙齿变色: 受感染的牙齿可能会变成暗灰色或深褐色。
- 有时牙龈上会起“脓包”: 当牙髓感染严重时,炎症可能会通过牙根尖孔扩散到牙槽骨,在牙龈上形成一个类似“青春痘”的脓包,按压时会有脓液流出。
- 感觉:
- 剧烈的自发性疼痛: 疼痛非常剧烈,尤其是夜间发作,让人难以入睡,这种疼痛是阵发性的,一阵一阵地疼。
- 冷热刺激引发剧痛: 即使喝一口凉水或热水,都会引发难以忍受的剧痛。
- 疼痛可放射至头部、耳部、颞部: 有时会分不清到底是哪颗牙在疼。
- 对冷热刺激痛觉迟钝: 到了后期,牙神经已经坏死,对冷热的反应反而会减弱,但会转为持续性的胀痛或咬合痛。
简单说: 牙齿疼得要命,尤其是晚上,可能牙龈上还会长“脓包”。
末期/根尖周炎/残根(牙齿几乎被“吃”光)
这是最严重的阶段,牙神经已经完全坏死,感染扩散到了牙根周围的组织。
- 外观:
- 大面积缺损或残根: 牙齿大部分已经腐烂、崩解,只剩下残缺的牙冠或牙根,甚至整个牙齿只剩下一点残根留在牙槽骨里。
- 牙齿可能变脆,一碰就碎。
- 感觉:
- 持续性咬合痛或叩痛: 牙齿一咬东西就疼,或者用手指敲击牙齿时疼痛明显。
- 牙龈反复肿胀流脓: 根尖周围的组织发炎,导致牙龈反复长脓包,流脓。
- 牙齿可能松动甚至脱落。
简单说: 牙齿烂得只剩个根,一碰就疼,牙龈老长包。
如何初步判断自己是否有虫牙?
-
看:
(图片来源网络,侵删)- 牙齿表面有没有白垩色、黄褐色或黑色的斑点?
- 牙齿上有没有明显的小洞或黑洞?
- 牙齿颜色有没有异常变暗?
-
感觉:
- 吃冷、热、甜、酸的食物时,牙齿会不会酸痛?
- 咀嚼时,有没有某颗牙特别不舒服?
- 有没有不明原因的牙疼,尤其是晚上更厉害?
- 牙龈上有没有反复出现的“小脓包”?
-
其他信号:
- 牙齿对冷风敏感,吸一口凉气就疼。
- 感觉嘴里有挥之不去的异味。
最重要的一点: 牙齿从早期到晚期是一个缓慢的过程,早期几乎没有痛感,很容易被忽视。定期的口腔检查(建议每6-12个月一次)是发现早期虫牙最有效的方法! 一旦发现任何可疑迹象,请尽快去看牙医,越早治疗,越简单、越省钱、保住的牙齿也越多,不要等到疼得受不了才去,那时往往意味着治疗会更复杂、更痛苦。

暂无评论,1人围观