这是一个非常好的问题,也是很多缺牙朋友最关心的问题,选择一副“好”的假牙,并没有一个绝对的答案,因为它取决于您的口腔状况、经济预算、美观要求、生活习惯以及个人耐受度。
“好”的假牙 = 最适合您的假牙,下面我将从几个维度,为您详细解析不同类型的假牙,以及如何判断一副假牙是否“好”。

假牙的主要类型及其优缺点
目前主流的假牙分为三大类:活动假牙、固定假牙(种植牙)、固定-活动联合修复。
活动假牙
这是最传统、经济、适用范围最广的假牙,依靠卡环(挂钩)和基托(托板)固位在口腔内。
-
优点:
- 价格便宜: 是所有修复方式中成本最低的。
- 适应性强: 对牙齿和牙槽骨的条件要求不高,可以修复单颗、多颗甚至全口缺牙。
- 可摘戴: 方便清洁,便于口腔卫生维护。
- 对牙齿损伤小: 不需要磨削旁边的健康牙齿。
-
缺点:
(图片来源网络,侵删)- 异物感强: 初期戴用会有明显的不适感,影响发音和咀嚼。
- 稳固性差: 咀嚼效率较低,容易松动、翘动,尤其在吃较硬食物时。
- 可能损伤基牙: 卡环可能会对作为支撑的邻牙造成磨损或负担。
- 美观度一般: 金属卡环可能会暴露,影响美观。
适合人群:
- 预算有限者。
- 牙槽骨条件差,无法种植者。
- 需要临时过渡修复者。
- 全口或半口无牙颌者。
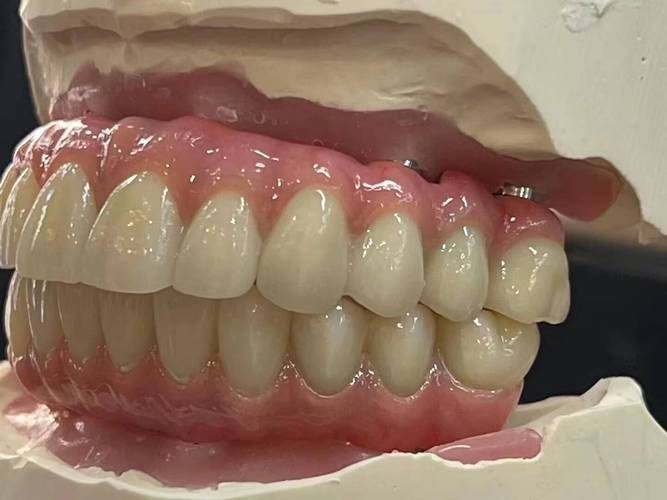
固定假牙(主要是“种植牙”)
被称为“人类的第三副牙齿”,通过手术将人工牙根(种植体)植入牙槽骨,再在上方安装牙冠。
-
优点:
- 媲美真牙: 咀嚼效率最高,稳固性好,感觉就像自己的真牙一样。
- 不损伤邻牙: 无需磨削旁边的健康牙齿。
- 美观度高: 牙冠可以根据邻牙的颜色、形态进行定制,以假乱真。
- 保护牙槽骨: 种植体可以刺激牙槽骨,防止其萎缩和吸收。
- 使用寿命长: 维护得当可以使用很多年,甚至终身。
-
缺点:
(图片来源网络,侵删)- 价格昂贵: 是所有修复方式中最贵的。
- 需要手术: 对身体状况有一定要求,有手术风险和恢复期。
- 周期长: 从植入到最终戴牙,通常需要3-6个月。
- 对口腔条件要求高: 需要有足够的牙槽骨高度和密度,否则需要进行植骨手术,增加费用和时间。
适合人群:
- 对生活品质要求高,希望获得最佳咀嚼和美观效果者。
- 口腔健康状况良好,牙槽骨条件足够者。
- 预算充足者。
固定-活动联合修复(如“种植牙支持的覆盖义齿”)
这是结合了活动假牙和种植牙优点的一种修复方式,在牙槽骨中植入2-4颗种植体,然后在活动假牙的基托上安装“ snaps(按扣)”,让假牙可以稳固地“扣”在种植体上。
-
优点:
- 稳固性大幅提升: 比传统活动假牙稳固得多,咀嚼效率显著提高。
- 覆盖性好: 基托面积可以做得更小,异物感减轻。
- 性价比高: 比做全口种植牙便宜很多,但效果远好于传统活动假牙。
- 保护牙槽骨: 种植体同样能起到防止牙槽骨萎缩的作用。
-
缺点:
- 比活动假牙贵: 虽然比全口种植便宜,但成本仍然不低。
- 需要手术: 同样需要植入种植体。
- 清洁相对复杂: 需要定期专业维护,清洁“按扣”结构。
适合人群:
- 牙槽骨条件不佳,无法承受全口种植,但又希望摆脱传统活动假牙松动困扰者。
- 半口或全口缺牙,追求高性价比和良好修复效果者。
如何判断一副“好”的假牙?(核心标准)
无论选择哪种类型的假牙,一副“好”的假牙都应具备以下几个核心特质:
-
固位稳定:
- 活动假牙: 戴上后不会轻易松动、脱落,说话、大笑、打喷嚏时都有信心。
- 种植牙/固定桥: 感觉牢固,没有晃动感。
-
舒适无异物感:
- 基托(托板)边缘圆润,不压迫牙龈和黏膜,不会引起疼痛或溃疡。
- 初期戴用可能会有适应期,但如果长期严重不适,就需要调整。
-
咀嚼功能好:
能够正常咀嚼各种食物,尤其是较硬的食物,恢复接近真牙的咀嚼效率。
-
美观逼真:
- 牙冠的颜色、大小、形态、排列都与邻牙协调,符合面部美学,看不出是假牙。
- 金属卡环(如果用的话)尽量设计得隐蔽。
-
易于清洁,利于口腔健康:
- 设计上没有清洁死角,方便日常刷牙和使用牙线、假牙清洁片等工具。
- 不会导致余留牙齿、牙龈或种植体周围发生继发龋坏或牙周病。
-
耐用,经得起时间考验:
- 所用材料(如钴铬合金、钛、氧化锆、树脂等)质量可靠,耐磨、耐腐蚀。
- 制作工艺精细,结构设计合理。
给您的选择建议
-
找专业医生进行全面检查和评估。
这是最重要的一步!医生会通过拍X光片(全景片、CT等)检查您的牙槽骨情况、邻牙健康状况等,然后根据您的具体情况,为您推荐最适合您的修复方案,并告知各种方案的优缺点和费用。
-
明确您的核心需求和预算。
- 追求极致体验,预算充足: 首选种植牙。
- 半口或全口缺牙,牙槽骨一般,预算中等: 种植支持的覆盖义齿是极佳选择。
- 预算有限,或作为临时过渡: 活动假牙是务实的选择。
- 缺一两颗牙,旁边有健康的邻牙: 可以考虑固定桥(需要磨牙)或单颗种植牙(不磨牙)。
-
不要只看价格,要看“价值”。
一副高质量的假牙,虽然初期投入高,但使用起来更舒适、功能更好、寿命更长,长期来看可能更划算,而一副劣质的假牙,不仅折磨人,还可能损害您的口腔健康,后期修复成本更高。
-
选择正规的医疗机构和经验丰富的医生。
假牙的“好”与“坏”,医生的技术和经验至关重要,一个优秀的医生能根据您的具体情况,设计出最合理的方案,并在制作和安装过程中精益求精,这是保证假牙质量的关键。
| 类型 | 优点 | 缺点 | 适合人群 |
|---|---|---|---|
| 活动假牙 | 价格低、适应性强、可摘戴 | 异物感强、稳固性差、可能损伤邻牙 | 预算有限、牙槽骨条件差、需临时修复 |
| 种植牙 | 功能媲美真牙、不伤邻牙、美观、保护牙槽骨 | 价格昂贵、需手术、周期长、对骨条件要求高 | 追求高品质、预算充足、口腔条件好 |
| 种植覆盖义齿 | 稳固性好、异物感小、性价比高、保护牙槽骨 | 比活动假牙贵、需手术 | 半/全口缺牙、想摆脱活动假牙困扰 |
最后的建议: 别犹豫,马上去找一位值得信赖的口腔医生或修复科医生,进行一次全面的咨询和检查,让专业人士为您提供个性化的方案,这才是为您找到“好”假牙的最快、最准确的途径。

暂无评论,1人围观