核心定义
氟斑牙,在医学上更准确的名称是氟牙症,是一种在牙齿发育期间(通常是儿童在7-8岁之前,恒牙正在形成时),由于摄入了过量的氟化物而导致的牙齿发育矿化障碍性疾病。
就是“牙齿在‘长’的时候,喝了太多含氟的水,导致‘长’坏了”,它是一种慢性氟中毒在牙齿上的表现。

(图片来源网络,侵删)
主要症状和外观特征
氟斑牙的严重程度不同,外观表现也多种多样,主要可以分为以下几种类型:
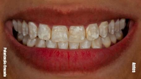
轻度(白垩型)
- 特征:这是最常见、最轻微的类型,牙齿表面出现不透明的、像粉笔一样的白色或淡黄色斑块或条纹。
- 影响:对牙齿的美观有一定影响,但牙齿的形态和硬度基本正常,通常没有敏感症状。
中度(着色型)
- 特征:在白垩色斑的基础上,牙齿表面出现黄色、棕色或黑色的色素沉着,这些色素沉着通常深入牙釉质内部,很难通过刷牙去除。
- 影响:牙齿颜色变得不美观,影响社交和自信心,牙釉质可能出现轻微的缺损,表面变得粗糙。
重度(缺损型)

(图片来源网络,侵删)
- 特征:这是最严重的类型,牙釉质上出现明显的实质性缺损,如点状、片状的凹陷或坑洞,甚至整个牙尖或边缘缺损,牙齿形态不完整。
- 影响:牙齿不仅外观丑陋,而且质地脆弱、容易磨损,由于牙釉质缺损,牙本质暴露,患者常常会感到牙齿对冷、热、酸、甜刺激非常敏感(牙本质过敏),并可能增加患龋齿(蛀牙)的风险。
一个简单的比喻:
- 健康的牙齿:像一块光滑、致密、有光泽的瓷砖。
- 氟斑牙:像一块质量有问题的瓷砖,表面要么有浑浊的斑块(白垩型),要么有污渍渗进去(着色型),要么干脆就掉了一块,露出里面粗糙的基底(缺损型)。
病因:为什么会得氟斑牙?
根本原因是在牙齿发育的关键时期(釉质形成期),摄入了过量的氟。
主要来源包括:
- 饮水含氟量过高:这是最主要的原因,某些地区天然地下水的氟含量本身就超过了安全标准(我国规定饮用水氟含量应低于1.0mg/L),长期饮用这类高氟水,会导致氟斑牙流行。
- 含氟牙膏使用不当:对于儿童,特别是吞咽反射控制不佳的幼儿,如果在使用含氟牙膏时吞咽过多,或者在刷牙时不小心吞咽牙膏泡沫,长期累积也会导致氟摄入过量。
- 其他含氟制品:长期饮用使用氟处理过的奶粉、频繁使用含氟漱口水等,也可能增加风险。
- 环境污染:某些地区(如矿区)因工业污染导致空气、土壤和水源中氟含量过高。
重要提示:适量的氟对预防龋齿至关重要,但“过犹不及”,氟斑牙的发生恰恰证明了氟是一把“双刃剑”。

(图片来源网络,侵删)
如何诊断和治疗?
诊断: 诊断相对简单,牙医通过观察牙齿的典型外观(白垩色斑、色素沉着、釉质缺损),并结合患者的年龄、居住地饮水史等,就可以做出明确诊断。
治疗: 氟斑牙的治疗方法取决于其严重程度,目标是改善美观、缓解敏感和恢复功能。
-
对于轻度(白垩型):
- 牙齿美白:效果有限,因为色素沉着在牙釉质内部,外源性美白效果不佳,有时甚至可能加重色差。
- 微研磨:用精细的器械磨除牙齿表面薄薄的一层浑浊釉质,使表面光滑,改善外观。
-
对于中度(着色型):
- 树脂贴面:用与牙齿颜色匹配的树脂材料,覆盖在牙齿表面,遮盖色斑和缺损,这是一种性价比高的选择。
- 瓷贴面:用薄薄的瓷片贴在牙齿表面,美观效果和耐用性都非常好,是目前主流的美学修复方法。
-
对于重度(缺损型):
- 全瓷冠/烤瓷冠:当牙齿缺损严重时,需要制作一个牙冠将整个牙齿包裹起来,以恢复其形态、强度和功能,这是最坚固的修复方式。
-
缓解敏感:
- 使用抗敏感牙膏(含有硝酸钾、氯化锶等成分)。
- 在医生指导下进行专业的脱敏治疗。
预防
预防氟斑牙的关键在于控制儿童在牙齿发育期(7岁前)的氟摄入量。
- 了解当地水质:生活在高氟地区,应尽量饮用低氟水源(如纯净水、桶装水)。
- 正确使用含氟牙膏:
- 儿童应使用专用儿童含氟牙膏(氟含量较低)。
- 每次只用“豌豆”大小的量。
- 家长应在旁监督,教导孩子吐出泡沫,并尽量减少吞咽。
- 避免其他高氟来源:不要给孩子长期使用成人含氟漱口水。
氟斑牙是一种可以预防但一旦形成就难以逆转的牙齿疾病,它提醒我们,氟化物是预防蛀牙的有力工具,但必须科学、适量地使用。

暂无评论,1人围观