预成冠是一种专门为牙齿修复设计的预制牙冠,主要用于恢复牙齿的形态、功能及美观,尤其在儿童口腔科和牙体牙髓科中应用广泛,它的核心优势在于标准化生产、操作便捷和高效修复,能够有效解决牙齿大面积缺损、龋坏或发育异常等问题,预成冠通常由不锈钢、陶瓷或高分子材料制成,根据使用对象分为乳牙预成冠和恒牙预成冠,前者多用于儿童乳牙的早期干预,后者则适用于恒牙的暂时性或永久性修复。
从结构上看,预成冠的形态与天然牙高度匹配,分为牙冠部分和颈缘部分,牙冠部分模拟牙齿的咬合面和邻接面,以恢复咀嚼功能;颈缘部分则与牙体组织紧密贴合,防止继发龋和边缘微渗漏,制作过程中,牙医需先对患牙进行预备,即磨除部分牙体组织以确保预成冠的顺利就位,随后通过印模或数字化扫描获取牙齿模型,最后选择合适尺寸的预成冠进行粘固,与传统冠修复相比,预成冠的粘固过程更简单,通常采用玻璃离子水门汀等粘接剂,既能减少椅旁时间,又能降低对患者的创伤。

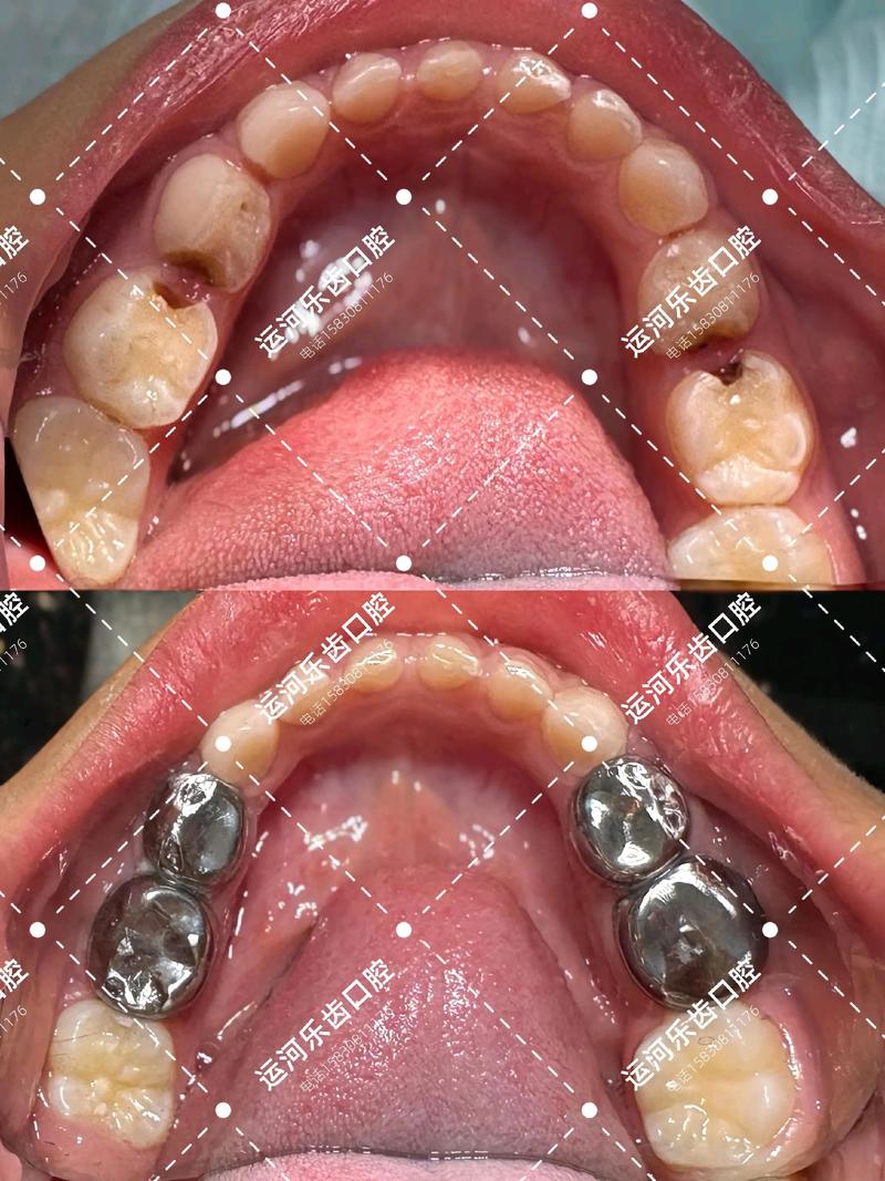
在儿童口腔治疗中,预成冠的作用尤为突出,儿童乳牙牙体组织较薄,龋坏进展迅速,一旦发生大面积缺损,易引发牙髓炎或根尖周炎,预成冠能够快速恢复牙齿外形,避免因过早失牙导致的错颌畸形,对于深龋乳磨牙,预成冠可覆盖剩余牙体,隔绝外界刺激,同时维持乳牙间隙直至恒牙萌出,预成冠的金属材质具有较高的强度,能承受儿童日常咀嚼力,且边缘密合性好,减少了二次龋的风险,近年来,美观性改良的预成冠(如树脂预成冠或陶瓷预成冠)也逐渐普及,满足了前牙修复的美学需求。
对于恒牙而言,预成冠常用于以下场景:一是作为年轻恒牙的暂时性修复,因年轻恒牙牙根尚未发育完成,预成冠可保护牙髓并维持牙齿功能;二是作为大面积龋坏或外伤后的永久性修复,尤其是后牙区,预成冠的咬合面设计能分散咀嚼力,降低折裂风险;三是作为桩核冠的基础,为后续全冠修复提供固位支持,值得注意的是,恒牙预成冠的材料选择更为多样,包括全瓷、金属烤瓷等,可根据患者对美观和强度的需求进行个性化定制。
预成冠的适用范围虽广,但也有一定局限性,对于牙冠严重缺损至龈下者,需先进行牙周手术暴露牙体;对金属过敏者,需选择非金属材质;而咬合过紧或邻牙倾斜的患者,则可能影响预成冠的适配性,预成冠的长期效果与口腔卫生维护密切相关,若患者清洁不到位,可能导致边缘龋或牙周问题,牙医在修复前需进行全面评估,包括口腔检查、X线片及咬合分析等,以确保预成冠的修复效果。
以下是预成冠与传统冠修复的对比表格:

| 对比项目 | 预成冠 | 传统冠 |
|---|---|---|
| 制作方式 | 预制标准化,椅旁时间短 | 需个性化制作,需技工室加工 |
| 材料选择 | 不锈钢、树脂、陶瓷等 | 金属、烤瓷、全瓷等 |
| 适用年龄 | 儿童乳牙及恒牙均适用 | 多见于恒牙 |
| 操作复杂度 | 牙体预备量少,粘接简单 | 牙体预备量大,需精确取模 |
| 成本效益 | 成本较低,性价比高 | 成本较高,尤其全瓷冠 |
| 美观性 | 金属预成冠美观性一般,树脂/陶瓷较好 | 全瓷美观性最佳,金属烤瓷次之 |
相关问答FAQs:
-
问:预成冠的使用寿命是多久?
答:预成冠的使用寿命取决于多种因素,如患者年龄、口腔卫生习惯、材料类型及咬合情况,儿童乳牙预成冠通常可维持至恒牙替换,一般使用2-4年;恒牙预成冠若维护得当,可维持5-10年或更久,定期口腔检查和清洁是延长使用寿命的关键。 -
问:预成冠修复后需要注意哪些事项?
答:术后24小时内避免咀嚼硬物,以防粘接剂脱落;需加强口腔卫生,使用牙线或间隙刷清洁邻接面,避免食物嵌塞;若出现疼痛、松动或牙龈红肿,需及时复诊,建议每6个月进行一次口腔检查,评估预成冠的边缘密合度和牙周健康状况。


暂无评论,1人围观