“什么样的假牙最好”是许多牙齿缺失患者最关心的问题,但答案并非“某一类假牙绝对最好”,而是需要结合个人口腔条件、生活习惯、经济预算及治疗目标综合判断,假牙的核心功能是恢复咀嚼、发音和美观,不同类型的假牙各有优劣,选择时需权衡利弊,找到最适合自己的方案。
从修复方式来看,假牙主要分为活动假牙、固定假牙和种植假牙三大类,每一类又包含多种细分类型,适用情况差异显著。

活动假牙是利用卡环基托等结构固位在剩余牙齿上,患者可自行摘戴,适用于多颗牙缺失或全口牙缺失的情况,尤其是当口腔内余留牙较少或牙槽骨条件不佳时,活动假牙的优点是磨除健康牙齿组织少,适用范围广,价格相对较低;缺点是异物感较强,初期可能影响发音和咀嚼,稳定性不如固定和种植假牙,长期佩戴可能压迫牙龈导致黏膜炎症,且需频繁清洁维护,常见的活动假牙包括胶托活动义齿(树脂基托)和钢托活动义齿(金属支架),后者强度更高、体积更小,但价格更高,对金属材料过敏者需谨慎选择。
固定假牙则通过将修复体粘接在两侧的健康基牙上,像“桥”一样连接缺失牙部位,患者无法自行摘戴,其优势是咀嚼效率高、稳定性好、异物感小,美观效果接近天然牙;缺点是需要磨损两侧健康的邻牙,对基牙的条件要求较高(牙冠足够大、牙根稳固、无严重龋坏或牙周病),且适用于少数牙缺失(通常不超过3颗),固定假牙包括全瓷牙、烤瓷牙等,全瓷牙生物相容性更好、色泽更自然,但价格较高;烤瓷牙内层为金属,强度高,但可能存在牙龈边缘发黑、金属过敏等风险。
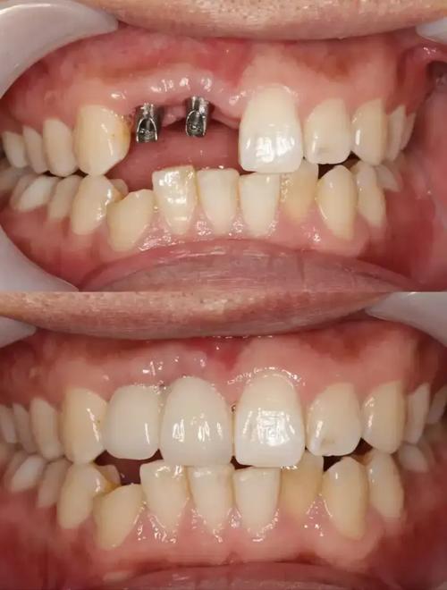
种植假牙被誉为“人类的第三副牙齿”,是通过手术将种植体(类似牙根的金属植入物)植入牙槽骨,待骨结合后安装牙冠或牙桥,其最大优势是独立存在于牙槽骨内,不损伤邻牙,咀嚼功能接近天然牙,能有效防止牙槽骨萎缩,美观性和舒适度极佳;缺点是治疗周期长(通常需要3-6个月)、费用高、对患者的身体状况和牙槽骨条件要求严格(如骨量不足需植骨),且有手术风险(如感染、种植体失败),种植假牙适用于单颗、多颗或全口牙缺失,尤其是对咀嚼功能要求高、不愿磨损邻牙的患者。
选择假牙时还需考虑材料因素,活动假牙的基托材料有树脂(舒适、经济但易老化)和金属(强度高、体积小但导热性可能刺激牙髓);牙冠材料中,全瓷(如氧化锆、玻璃陶瓷)美观且生物相容性佳,金属烤瓷性价比高但存在金属过敏风险,纯金属(如金合金)稳定性好但价格昂贵,种植体的材料多为纯钛或钛合金,与人体组织相容性好,骨结合率高。

综合来看,“最好”的假牙需满足以下条件:一是功能恢复好,能高效咀嚼食物,不影响发音;二是舒适度高,佩戴后无明显异物感,不对口腔软组织产生压迫或刺激;三是美观自然,颜色、形态与邻牙协调;四是耐用且易于维护,不易损坏或变形,日常清洁方便;五是长期安全性高,不会对邻牙、牙槽骨或全身健康造成不良影响,对于年轻人单颗后牙缺失,若牙槽骨条件允许,种植牙是首选,因其不损伤邻牙且功能最佳;而对于老年多颗牙缺失且牙槽骨萎缩严重者,活动假牙可能是更经济实用的选择;若邻牙健康且咬合力要求高,固定桥也能满足需求。
在实际选择中,患者需到正规医院口腔科或修复科进行全面检查,包括口腔检查、X光片(曲面断层片或CBCT)、牙周状况评估等,医生会根据余留牙情况、牙槽骨密度与高度、咬合关系、全身健康状况(如是否有糖尿病、骨质疏松等)等因素,制定个性化的修复方案,患者应与充分沟通自身需求(如对美观的要求、预算范围、能否接受手术等),共同选择最适合的假牙类型。
相关问答FAQs: Q1:活动假牙、固定假牙和种植假牙的价格差异大吗?如何选择? A1:价格差异显著,活动假牙价格最低,国产胶托约1000-3000元/副,钢托约3000-6000元/副;固定假牙中等,全瓷牙约3000-8000元/颗,烤瓷牙约1500-4000元/颗;种植假牙最高,单颗种植体(含牙冠)约8000-20000元,骨不足需植骨则费用增加,选择时需结合预算,但更应考虑长期性价比:种植牙虽初期投入高,但使用寿命长(可达10-20年),而活动假牙需5-8年更换,固定桥可能需磨除健康牙,长期看种植牙可能更经济,若预算有限,可优先解决功能问题,如先做活动假牙恢复咀嚼,后期再考虑种植。
Q2:佩戴假牙后需要注意什么?能用多久? A2:佩戴假牙后需注意:①清洁维护,活动假牙每天摘下用软刷、牙膏清洗,睡前浸泡在清水或假牙清洁液中;固定假牙和种植牙需使用牙线、冲牙器清洁邻接面,避免食物嵌塞;②饮食调整,初期避免过硬、黏性食物,活动假牙者不宜啃咬苹果、排骨等,防止基托变形或卡环折断;③定期复查,活动假牙每半年至1年检查一次,调整基托压迫部位;固定假牙和种植牙每年检查咬合和牙周状况;④出现疼痛、松动、黏膜红肿等症状需及时就医,假牙使用寿命因类型和护理情况而异:活动假牙约5-8年,需定期重衬或更换;固定桥约10-15年,可能因继发龋或基牙问题损坏;种植牙维护得当可使用20年以上,甚至终身。

暂无评论,2人围观