第一阶段:早期龋齿(浅龋)
这个阶段,牙釉质刚刚开始被破坏,通常没有明显的不适感。
- 主要症状:
- 牙齿表面出现白垩色或黄褐色斑点: 这是最早的信号,在牙齿的窝沟点隙或光滑面上,会出现不透明的、像白粉笔一样的斑点,或者局部变成黄褐色。
- 探针检查时有粗糙感: 用牙尖探针轻轻划过牙齿表面,能感觉到一个粗糙的、不光滑的区域。
- 患者感觉:
- 通常没有疼痛感。
- 可能对冷、热、甜、酸的刺激有一过性的敏感,但刺激去除后很快恢复。
第二阶段:中期龋齿(中龋)
龋坏已经突破牙釉质,到达了牙本质层,这时,症状会变得明显起来。

(图片来源网络,侵删)
- 主要症状:
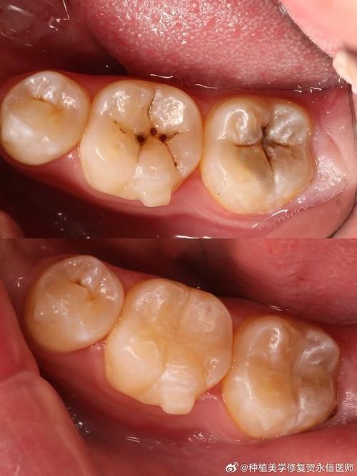
- 形成明显的龋洞: 牙齿上出现肉眼可见的黑洞或棕色/黑色的龋洞。
- 对冷、热、甜、酸食物敏感: 这是中期龋齿最典型的症状,当吃到冰淇淋、热汤、甜食或酸性饮料时,牙齿会产生一过性、尖锐的疼痛,刺激去除后疼痛立即消失,这种敏感不是持续性的。
- 探诊有疼痛感: 用探针探查龋洞时,会感到明显的酸痛。
- 患者感觉:
- 主要表现为刺激性疼痛,没有自发性疼痛。
第三阶段:晚期龋齿(深龋)
龋洞已经非常深,接近或穿过了牙本质,并可能累及牙髓(俗称“牙神经”)。
- 主要症状:
- 遇到冷、热、甜、酸刺激时,疼痛加剧且持续时间延长: 疼痛不再是“一过性”的,而是会持续一段时间,比如喝口冰水,牙齿会疼上好几分钟。
- 食物嵌塞引起疼痛: 当食物塞进很深的龋洞时,会产生剧烈的疼痛。
- 自发性疼痛: 在没有外界任何刺激的情况下,牙齿也可能突然开始疼痛,尤其在夜间更明显。
- 牙髓炎症状: 如果细菌感染了牙髓,可能会发展为牙髓炎,出现自发性、阵发性剧痛,对冷热刺激特别敏感,疼痛可放射至头部、耳部、颞部等,热痛冷缓解是牙髓炎的一个典型特征(热痛冷缓解)。
- 患者感觉:
- 疼痛剧烈,且可能发展为持续性剧痛或自发痛。
第四阶段:牙髓坏死或根尖周炎(最严重的阶段)
如果深龋没有得到及时治疗,牙髓会坏死、感染,并感染到牙根尖周围的组织。
- 主要症状:
- 牙冠可能变色: 坏死的牙髓会使牙齿失去营养,导致牙冠变成暗灰色或灰黑色。
- 牙龈反复起“包”(根尖脓肿): 在牙齿的牙龈根尖部位,会反复地长出脓包,称为“瘘管”,这个脓包会自行破溃流脓,然后又长起来,时好时坏。
- 咬合痛、叩痛: 感觉牙齿浮起,不敢用患侧咀嚼,轻轻敲击牙齿会引起剧烈疼痛。
- 转为慢性根尖周炎时: 可能没有明显疼痛,只有咀嚼不适或牙龈起包。
- 转为急性根尖周炎时: 会出现持续性、搏动性的剧痛,牙齿有明显的伸长感,不敢咬合,甚至可能伴有面部肿胀、发烧、头痛等全身症状。
- 患者感觉:
- 持续性的剧痛,影响正常生活,甚至引发感染扩散。
总结表格
| 阶段 | 龋坏深度 | 主要症状 | 患者感觉 |
|---|---|---|---|
| 早期 | 仅限牙釉质 | 白垩色/黄褐色斑点,表面粗糙 | 通常无症状,或对刺激一过性敏感 |
| 中期 | 达到牙本质 | 形成明显龋洞,遇冷热酸甜一过性剧痛 | 刺激性疼痛,刺激去除后疼痛消失 |
| 晚期 | 接近或穿通牙髓 | 遇刺激疼痛加剧且持续,食物嵌塞痛,可能出现自发性疼痛 | 疼痛剧烈,可能发展为持续性剧痛 |
| 末期 | 累及牙根尖 | 牙齿变色,牙龈反复起包,咬合痛,急性期面部肿胀 | 持续性剧痛,影响咀嚼,可能引发全身症状 |
重要提醒
早期龋齿没有症状,但恰恰是治疗最简单、花费最少、效果最好的时候!
一旦出现上述任何症状,尤其是对冷热敏感、牙齿疼痛、看到黑洞或牙龈起包,请务必及时去看牙医,不要等到疼得受不了才去,因为那时治疗会更复杂、更痛苦、花费也更高(可能需要做根管治疗和牙冠)。

(图片来源网络,侵删)
定期进行口腔检查和洁牙,是发现和预防龋齿的最佳方式。

(图片来源网络,侵删)

暂无评论,1人围观