拔牙后的肿胀是身体对创伤和手术应激的一种正常的炎症反应。
下面我将从几个方面详细解释为什么会肿,以及如何应对:

(图片来源网络,侵删)
为什么会肿?(核心原因)
可以把拔牙想象成身体里发生了一场“小型的战斗”和“重建工程”。
-
组织创伤:
- 物理损伤:拔牙时,医生需要使用器械(如牙挺、牙钳)来松动甚至撬动牙齿,这个过程不可避免地会对周围的牙龈、牙槽骨、牙周膜等软硬组织造成挤压、撕裂和损伤。
- “战场”清理:为了将牙齿完整地拔出,有时需要切开牙龈、去除部分骨头或分割牙齿,这些都是有创操作,会直接破坏组织结构。
-
血管破裂与出血:
- 牙齿周围布满了丰富的毛细血管和微小血管,拔牙时,这些血管几乎都会被撕裂,导致出血,血液和组织液会渗出到受伤的组织间隙里,形成血肿,这是肿胀最直接的原因之一。
-
身体的炎症反应(核心机制): 这是肿胀、疼痛、发热的“罪魁祸首”,但也是身体修复的必经之路。
(图片来源网络,侵删)- “警报拉响”:组织损伤后,身体会立即识别出“危险信号”,释放出多种炎症介质,比如组胺、前列腺素、缓激肽等。
- “交通管制”:这些炎症介质会指挥局部的毛细血管发生一系列变化:
- 血管扩张:血管口变大,让更多的血液流向受伤区域,以便输送“救援部队”(白细胞、抗体等)。
- 血管通透性增加:血管壁的“门”变大了,使得血管里的液体(血浆)和白细胞能够顺利地渗出到组织间隙中。
- “形成水肿”:这些渗出的液体在组织间隙里积聚,就形成了水肿,也就是我们能看到的肿胀,肿胀一方面可以限制活动,保护受伤区域;这些液体也带来了修复所需的营养物质和免疫细胞。
肿胀的“时间线”和高峰期
了解肿胀的规律可以帮助您判断恢复情况:
- 拔牙后24-48小时:这是肿胀的高峰期,因为炎症反应需要时间来启动和达到顶峰,所以通常在拔牙后的第二天,您会感觉脸肿得最厉害。
- 拔牙后3-4天:肿胀开始逐渐消退,身体的炎症反应进入平稳期,开始清理“战场”,修复组织。
- 拔牙后5-7天:肿胀基本消退,伤口进入初步愈合阶段。
哪些因素会加重肿胀?
除了正常的生理反应,以下情况可能会让肿得更厉害:
- 手术复杂程度:拔阻生智齿(尤其是水平阻生、埋伏阻生)比拔松动的前牙要困难得多,创伤大,手术时间长,肿胀自然也更严重。
- 个体差异:每个人的身体反应不同,年轻人新陈代谢快,反应可能更剧烈;而老年人反应可能较轻,有吸烟、饮酒习惯或患有某些系统性疾病(如糖尿病)的人,恢复过程也可能受影响。
- 术后护理不当:
- 过早吐掉口水或漱口:可能会冲掉刚开始形成的血凝块,导致再次出血和感染,加重肿胀。
- 术后24小时内热敷:在急性炎症期(前24-48小时)热敷会扩张血管,加重渗出和肿胀,应该冷敷。
- 吃太烫、太硬的食物:刺激伤口,影响愈合。
- 感染:如果口腔卫生不好,导致细菌进入伤口,引发干槽症或其他感染,肿胀会持续不退,甚至伴有剧烈疼痛和臭味。
如何预防和减轻肿胀?
遵循医嘱做好术后护理是关键:
- 冷敷是关键:拔牙后24-48小时内,用冰袋或冷毛巾敷在拔牙侧的脸颊上,每次15-20分钟,休息一会儿再敷,冷敷可以使局部血管收缩,减少渗出,有效减轻肿胀和疼痛。
- 正确止血:拔牙后,医生会在伤口处放一个棉卷或纱布,咬紧30-40分钟后轻轻吐出,不要用舌头或手去触碰伤口,让血凝块自然形成。
- 术后24小时内不漱口不刷牙:以免破坏血凝块,24小时后,可以轻轻用温盐水(一杯温水+半茶匙盐)漱口,帮助清洁口腔,但动作要轻柔。
- 饮食注意:吃温凉、软烂的食物,避免用患侧咀嚼,不要吃辛辣、坚硬、过烫的食物。
- 遵医嘱服药:医生通常会开口服消炎药和止痛药,请务必按时按量服用,以控制炎症和疼痛。
- 休息,避免剧烈运动:拔牙后几天内,保证充足的休息,避免熬夜和剧烈运动,以免血液循环加快,加重肿胀。
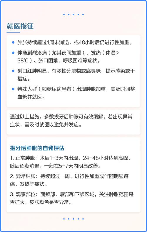
何时需要警惕并联系医生?
虽然肿胀是正常的,但如果出现以下情况,可能是感染的迹象,应及时就医:

(图片来源网络,侵删)
- 肿胀在拔牙3-4天后不但不消退,反而越来越严重。
- 疼痛剧烈,并且服用止痛药也无法缓解,尤其是在术后2-3天后疼痛突然加剧。
- 出现张口困难,几乎张不开嘴。
- 伤口有脓液流出,或伴有臭味。
- 发烧。
总结一下:拔牙后肿胀,是身体对创伤的“自卫反击战”,是修复的必经之路,通过正确的冷敷、休息和护理,可以帮助身体打赢这场“战役”,让肿胀更快地消退,如果出现异常情况,不要犹豫,及时联系您的牙医,祝您早日康复!

暂无评论,1人围观